Transformaciones Reales
Resultados que hablan por sí solos
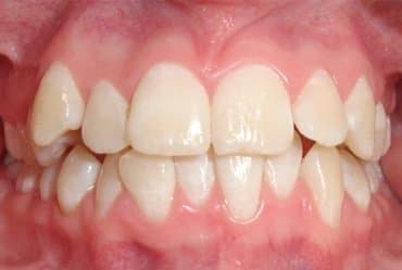
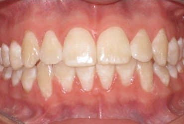
Cada caso es único. Lo que ves aquí son transformaciones reales logradas por nuestros especialistas en ORTODEM.

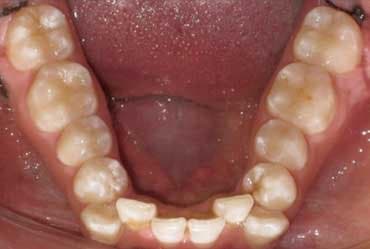
Antes

Después

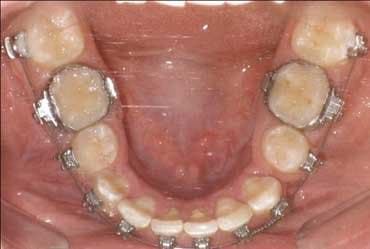
Antes

Después

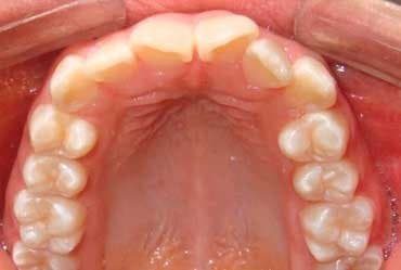
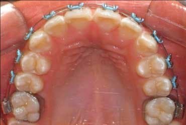
Antes

Después
* Imágenes reales de pacientes de ORTODEM. Los resultados individuales pueden variar según las condiciones de cada paciente.
¿Quieres transformar tu sonrisa?
Agenda tu valoración gratuita hoy mismo y descubre qué transformación es posible para ti.
